杰西卡!你不当爱豆谁当!

拉票这part美到我了,我直接一个尖叫!!

太蛊了太蛊了,芒果台能不能放出来,有什么是我年卡会员不能看的嘛??你们剪辑师不要一个人看!~~

不仅肢体语言魅惑,idol业务能力强,美商还高。


要知道她也是一步一步到现在的,整牙给她不少助益。

最近还刷到了JK姐妹的儿时照,其实仔细看看秀妍很小就有颌面问题的迹象了,秀妍牙齿导致的颌面问题早就给后期”调整“埋下了种子。

不过还好,西卡父母最后带她去做了矫正,现在已经是牙齿矫正的受益人啦。(因为练习生+出道较早,所以留下一些before照片)

小天每每看到小孩因整牙而逆袭变美的例子都觉得由衷开心
最近突然刷到照片,才惊觉我们的小海丽已经长这么大了,明明感觉没多久前还是奶声奶气的小娃娃呢。

而且,陈智熙(原名)整个人的精致感也随着年龄悄悄增长了。

尤其是小时候有点乱及反颌的牙齿也变整齐啦。

有一说一,从上述例子和结果看,至少看到了早矫的曲折进化史,从早期的忽视、得不到重视,再到现在逐渐被关注,去落地。
说明牙齿对儿童本身以及颜面的影响,越来越被肯定了,家长们值得一个双手赞扬!
但早矫也是一门大学问,涉及各种各样的问题及产品选择,走起~


什么是早矫?
早矫,其本质是早期的阻断性治疗,降低后期矫正难度。
在乳牙期及混合牙列期,对影响儿童正常发育、功能、面容及心理健康的不调因素进行早期干预,来创建良好的牙颌发育环境。因为儿童时期的牙齿颌面都处于高速发育期,同时具备很大的生长和改造潜力,在幼年或青少年时期(6-12岁)去给有牙齿问题的宝贝干预、矫正,帮助他们整个颜面健康协调发育。
同时牙齿矫正会顺带影响骨骼、肌肉,所以也可统称为儿童牙颌早期矫治。

这已经成为趋势、及很多家长们的首选!

所以这里纠正一个很多家长的观念误区:替牙结束后才开始矫正是错误的,等到12岁再去矫正可能有些问题越拖越严重了。

早矫能解决哪些问题?
1、解决诸多牙齿问题、建立良好口腔环境
对于早矫,最直观的是解决现存牙齿问题,和培养好的口腔习惯,及打下一个坚实美观的颌面基础。
就像盖高楼,地基(牙齿排列和口腔习惯)在没盖楼之前,出现问题好修补,等盖成高楼了才发现地基有bug,那就是大工程了。

2、改善颌面、肌肉发育
牙与颌面密不可分,上排牙齿的牙床是上颌骨的一部分,下排牙齿的牙床是下颌骨的一部分。
可想而知,牙齿的形态和排列会影响颌面的外观,主要是影响下庭。

因为骨骼是人体支架,肌肉通过收缩牵引骨骼产生关节运动,其作用犹如杠杆装置。
只有颌面部的骨骼、软组织及牙齿协调生长和发育,才能出现“正常的面型”和“理想的咬合”。
所以,矫正牙齿可以解决的问题都不是问题,涉及到骨骼肌肉就是大问题了。

这也是早矫存在的意义,提前规避未知风险,帮助宝贝的当下、未来拥有一个正确的牙齿排列(口腔姿势)、规整的颌面、良性的肌肉关系、及好看的颜面!


早矫能带来哪些好处?
就一个过来人讲,早矫对于生长发育过程的助力可是大大滴,它是怎么影响牙齿、肌肉、骨骼的,继续往下说
1、直观好处
a、效果明确:如果宝贝很小就出现牙齿问题,且及时进行了干预、矫治,引导牙齿正常生长发育,可以避免形成严重的错颌畸形。
这时期对结果的预见性更加直观。

举个例子,感冒及时看医生,了解病因对症下药,一般三五天就能痊愈,且不会留下任何病根。
如果感冒期没重视,后续发展到发烧、肺炎甚至更严重的后果,治疗期、费用、痛苦程度、及结果都比感冒期更复杂,遗留病根的概率也会大大增加。

b、过程短、痛苦小:基于早矫期的发育性、潜力性、可塑性都很大,出现的牙齿问题相对成人而言更轻症,所以治疗过程中用的方法、器械也相对简单,时间更短

上述反颌宝贝佩戴牵引器,看着复杂,实则痛苦指数很低,固定器只是辅助宝贝头部保持良好的姿势,两根皮筋配合矫正器就能牵引出发育不足的上颌骨,而且时间较短,最快几个月就能结束。
同时早矫期,儿童出现各种牙齿疾病、例如牙周病、牙根吸收、牙周炎等概率也较低。如果有牙齿疾病,还需治疗痊愈后才能进行矫正,且过程中仍有可能遇到牙病问题,过程复杂、较长且比较痛苦。
据临床实验数据显示,早矫中的宝贝,无论舒适度还是效果满意度,都是比较高的。

c、降低牙病发展和二次矫正概率:早矫是对发育成熟前(错颌畸形)的风险规避。
什么是错颌畸形?
是指由先天遗传或后天环境因素造成的牙列不齐、上下牙弓咬合关系异常、颌骨大小形态位置异常、面部畸形。
不太健康的咬合,在医学上分成三类:
安氏Ⅰ类可以简单理解成,上下牙没有咬合问题,主要是牙齿不齐

安氏Ⅱ类可以理解成小下巴或嘴突

安氏Ⅲ类可以理解为地包天

除了安氏Ⅰ类属于是单纯牙齿问题,后面两种已经严重影响到颌面容貌,给人感觉不太美观,也会造成宝贝的自卑心理。
所以利用儿童的生长潜力,来改善面型,在问题牙齿明显影响到骨骼肌肉前把这些问题矫治好,可以有效从本质上解决问题,也降低了成年后矫治的复发概率!

d、及时改正错误口腔习惯:有过早矫经历的一定深有体会,看医生通常第一句问的就是:有啥不好的习惯吗?
如果有,一定会说:这些问题必须得改啊,不然矫正也没用。
所以整个早矫期,医生除了关注矫治进展,就是提醒改正口腔习惯,久而久之坏习惯都会一一改善。

一切都对了,吞咽习惯、呼吸系统、消化问题也慢慢进入正轨。
e、拥有正确规整的颌面:错误的牙齿排列还未严重影响骨骼肌肉前,及时矫治复原,可以有效引导脸型良性发育,拥有一个规整好看的颜面。

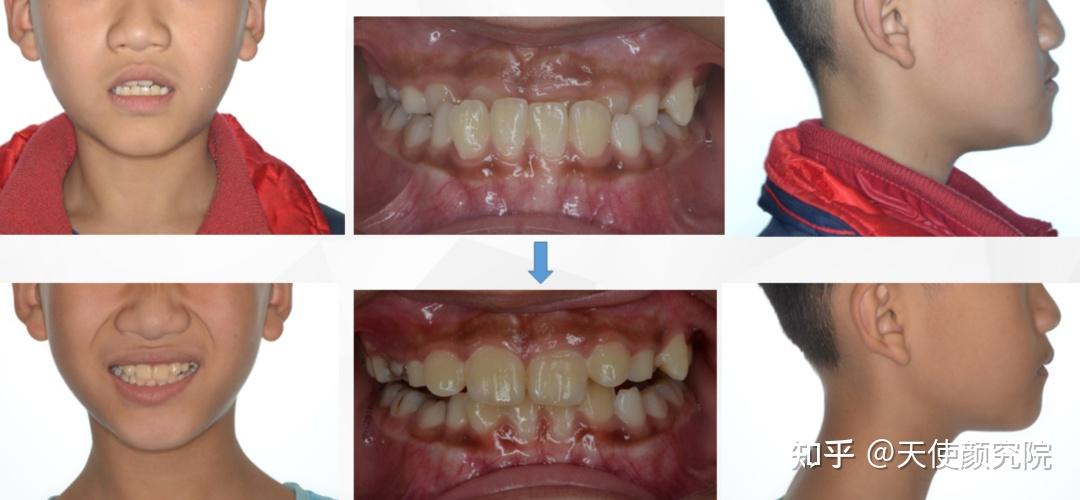
矫治前:牙齿凸,唇肌紧张
矫治后:牙、唇放松自然,颌面也规整
颌面不是单个的器官,包括牙齿、骨骼、肌肉。

它们是相互影响制约的关系,任何一方出了问题,都有可能影响到另外两方。
颌骨影响牙齿—颌骨的位置决定了牙齿的位置,颌骨错位,牙齿也会错位。

牙齿影响颌骨—牙齿咬合关系异常,会影响到颌骨发育,从而影响面容。比如牙齿错位生长,吃东西只能歪着咬、斜着咬,长期下来脸会长歪。

肌肉影响颌骨—肌肉对颌骨有牵拉力,过大的牵拉力会引起颌骨功能性改建,导致脸歪或者脸方。
所以牙齿、骨骼、肌肉是一个密不可分的整体,忽略任何一方都不可。
一定要定期带宝贝去看牙医,及时了解颌面的发育情况。
越早面诊,越能及时进行颜面管理,将问题结束在摇篮里,促进身心健康成长。

另外,早矫期需要拔牙的概率低于成年。
即使是牙齿拥挤的宝贝,因为处于生长发育期,可以促进牙槽骨的发育和改建,拥挤度大概率不会发展到II-III度。
50%的成年人之所以需要拔牙,是因为牙齿问题年数较长,牙槽骨的发育受到严重影响,需要拔掉几颗才能腾出矫正空间。

2、深层好处
口呼吸或腺样体面容,已经成为当下孩子牙病或颌面最常见的问题之一。
正常的呼吸方式是鼻呼吸。但现如今好多宝贝用嘴呼吸,是因为鼻腔被堵住了,通气不畅,自然就张口呼吸了。
鼻腔被“堵住”的原因有很多,比如感冒、慢性鼻炎、鼻息肉、腺样体或者扁桃体肿大(两者经常同时存在)等,这些都会造成呼吸道阻塞,引发口呼吸。

口呼吸除了对牙齿颌面有重大影响,还会影响气道。宝贝生长发育过程中,特别是扁桃体和腺样体,这两个生长发育过程中会逐渐退化,但又很容易退化不好肿大了,就影响气道了。

气道被影响,就呼吸不畅,宝贝就容易打鼾(还有很多别的习惯导致),打鼾就意味着他不舒服,呼吸不过来影响睡眠,生长激素在睡觉的时候分泌,生长激素分泌不足孩子长不高。
口呼吸吸入的氧气量会变少,长期的血氧饱和度低会影响发育中的各个重要器官,比如大脑发育,导致注意力分散、记忆力衰退,成绩不好。

这个时候面貌影响已经是小事了。


哪些情况需要去早矫?
错误的口腔习惯太多嘞!那些日常被忽视的错误习惯,是引起多种错颌畸形的元凶!

1、口呼吸、睡觉打鼾
呼吸作为口颌系统很重要的功能活动之一,会在很大程度上影响牙齿、颌骨(尤其是下颌骨)、以及软组织的形态和位置。
而长时间异常的呼吸方式(口呼吸),可能会影响颅颌面的生长发育,导致错颌畸形的发生,形成腺样体面容。

同时破坏口腔的肌力平衡,颌骨及牙弓内外受力不平衡,外面的力大于里面的力,硬腭会被挤压得很窄而且高,上牙弓变狭窄。

空气长时间不通过鼻腔,里面缺乏空气流通,慢慢的鼻腔会变窄、鼻孔变小,如果还处在生长发育期,还会造成上颌发育不良。

还因为我们的上颌骨是固定的,下颌骨是可以动的,张口呼吸时,下颌骨会往下往后旋转,时间一长,会拉长面型、下巴后缩。

长期下去会导致头部和颈椎的前倾,含胸驼背。

2、咬手指、吐舌头、咬铅笔—开合
这些动作都可能导致上颌外移,下颌内缩,龅牙=出现上下牙不能接触,影响咀嚼、发音、面容。

还有智齿萌出异常,后牙区上下颌基骨在垂直方向上发育过度,导致牙齿开合。

这种情况需要及时干预,根据情况,用牙套或口腔内导板诱导其正常生长。

3、习惯用一侧咀嚼或咀嚼能力弱
颌骨的四个快速生长期,大致可以根据牙齿的萌出来判断。
第一快速期:3周~7个月——乳牙萌出。第二快速期:4~7岁——第一恒磨牙萌出。第三快速期:11~13岁——第二恒磨牙萌出。第四快速期:16~19岁——第三恒磨牙萌出。尤其是在第二、三时期,是咬合形成的关键时刻。这个时期,宝贝处在换牙期,颌骨也在发育,很容易形成牙齿错合畸形,进而可能会影响颌骨发育及颌面部肌肉的动力平衡。比如,乳牙掉太早导致牙齿错位生长,进而影响咬合,吃东西时可能会歪着咬。

一旦养成习惯,易造成两边肌肉受力不一样,长期下来会歪脸。

3、吃奶or喂奶姿势不对—地包天有些宝贝因为喝奶姿势不对,比如喜欢躺着喝,需要把下巴抬起来才能含住奶嘴。这样会导致下颌习惯性前伸,引起下颌功能性前移,下牙包住上牙。

地包天一般为三类:牙性地包天、功能性地包天、骨性地包天。
牙性地包天,就是下前牙咬在上前牙的前面,通俗说就是下牙包住了上牙,表现出来就是前牙内陷,多见于于乳牙期。
牙性地包天的上下颌骨关系没有明显异常,下颌的形态、大小基本正常。

功能性地包天,上下颌骨大小形态及口腔姿势基本正常,只是牙齿咬合时,下颌功能性的过度前伸,造成了前牙反合,多见于乳牙列期和替牙期。
简单说就是青少年存在口腔不良习惯或咬合干扰,造成了下颌习惯性往前伸,形成了假性下颌前突,这种情况如果不及时矫治,会发展成骨性下颌前突。

骨性地包天,是上颌骨发育不足或下颌骨发育过度引起的前牙反覆盖关系。
因为骨性地包天和功能性地包天表现出来的形态相似,所以很多人区别不开。

简单区分法:1、上下前牙能否对齐;2、对齐时侧貌没有异常,满足这两点就是功能性地包天。

所以儿童的早期干预真的很重要,我们要做的就是在牙性和功能性阶段(乳牙6个月到6岁之间和替牙期6岁-12岁)矫治,可以有效避免影响到骨骼发育。


早矫要注重什么?
虽然早矫的重点是医生的经验技术,但家长的作用也非常大!
前几天刷到一条新闻,家长给10岁女孩用牙洞修复牙膏损失6颗牙。

结果评论区炸出更多奇葩家长



还有这个,《快乐星球》冰柠檬,自曝换牙期牙齿总长不出来,剧组就把鸡蛋壳磨成粉做成饼给她吃。





所以两颗门牙长得特别好。

理解导演的心情,也知道让冰柠檬吃蛋壳的用意,就是想补点钙。
牙齿生长需要大量钙元素,可就算真的补到牙齿上了,那也应该所有牙都大,为啥只有门牙大了?这个补法,有点过于土方子了哈~

奇奇怪怪的牙齿就不说了,有没有用是一方面,万一适得其反就得不偿失了。所以家长们还是从正道下手比较靠谱。
1、前期宝贝心理建设最重要
早矫过程最大的障碍不是佩戴矫正器这些,而是心理建设。
因为年龄小,宝贝对医生医院、矫正器比较抗拒排斥。
开始前家长给宝贝做足科普、安慰、陪伴或善意的谎言非常重要。
年龄较小的宝贝可以告诉他:每个带牙套的宝贝都是被超人幸运选中,可以拥有别人没有的魔力,等你摘掉牙套后,你就会变得非常厉害,可以吃很多好吃、现在咬不动的美食···
年龄大一些,比如8、9岁甚至更大,要清晰告诉他为什么矫正、矫正的好处、需要他怎么做等。
一旦接受了,过程也会顺利很多。

2、宝贝的依从性很重要
如果上述环节搞定了,这个环节可pass。
如果没搞定,过程中可能会出现不戴矫正器、不配合医生检查、口腔坏习惯不注意,直接影响最后效果。
所以一定要跟宝贝商量好,意愿和配合度对结果很重要。

3、医院、医生、矫正器的选择
这里就需要家长们擦亮眼睛了,可以看到大量案例的医生是首选。
或亲戚朋友在那里做的,且有明显效果的也可以考虑。

其次是矫正器的选择,市面上常见的各种牙套各有利弊:
金属托槽价格亲民,可是清理麻烦、不够美观;
陶瓷牙套好看点,但很厚,容易有凸嘴感;
舌侧托槽又爱刮肉;
隐形牙套好看美观,价格比传统的稍高。
所以到底怎么选,这篇已经严重超载了,我们下篇详细讲,各类牙套的利弊选择哈~
免责声明:文章内容来自互联网,本站仅提供信息存储空间服务,真实性请自行鉴别,本站不承担任何责任,如有侵权等情况,请与本站联系删除。