每到六月,都是杨梅季。然而,在某些地区流传着吃杨梅后吞吃杨梅核,润肠通便下火,好处多多,老一辈的许多人因此都有吞吃杨梅核的“不科学”的吃法。6月15日凌晨,浙江台州一位74岁的老人因为吞吃杨梅核,患肠梗阻而进了医院。
14日傍晚,吃完晚饭的金老太在外乘凉,又美美地吃了一碗杨梅。因为民间一直有种说法是吃杨梅容易上火,吞下杨梅核能下火,杨梅核在肠道走一遍还能带走肠道里的脏东西,清肠通便,金老太一直有吞吃杨梅核的习惯。没想到到了后半夜,睡梦中的她被一阵剧烈腹痛痛醒。因为反复剧烈腹痛,忍受不住的老人被儿女送到了台州市中心医院急诊。
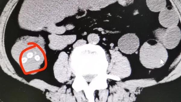
急诊接诊医生听了家属的描述和吞吃杨梅核的事,判断老人是杨梅核堵在肠道里导致肠梗阻了。CT检查下发现,老人肠道内多处有杨梅核的身影,起码有十几颗,确实是杨梅核导致了肠梗阻。老人被紧急安排住进胃肠外科做紧急处理。


“以前吃下去都没关系的,为什么现在就不行了?“老人疑惑不解。医生说,一方面可能是这次吞的太多,一方面也是年纪大了后肠道蠕动能力减弱。目前,老人的肠道已经通畅,继续留院观察中。
“每年这个时候,我们都会接收到因为吞吃杨梅核而肠梗阻的病人。”医生表示,大部分这类病人都是因为迷信吞杨梅核可以清热解毒、润肠通便而吃下的,其实这个理论并没有科学性。杨梅核较坚硬,无法被人体消化,一般吞下一颗可通过排便自行排出。若是一次吞入过多,容易在狭窄的肠道内堆积,引起肠梗阻,甚至引起出血、穿孔等情况。
“不管是出于什么目的,我们都不建议吞吃杨梅核!”医生提醒。
类似情况层出不穷
不光老年人最易中招
年轻人也有
近日,福建漳州一老伯“生吞”200颗杨梅核被急送医。据了解,近一个月来,王大伯间断性的食用杨梅,并舍不得将核吐掉,每一颗都吞了下去。
一向身体倍儿棒的王大伯最近出现了腹胀、恶心、呕吐、食欲减退等症状,家人赶紧将他送至当地县医院进行治疗。
经CT检查后发现胃潴留,胃内可见大量颗粒状物体,密密麻麻。医生询问得知,王大伯近期大量食用杨梅且不吐核。
以下影像中就是没有消化的杨梅核。

在县医院保守治疗后,王大伯的症状并没有缓解,遂转至漳州市第三医院进一步治疗。
入院后,消化内镜室医生在胃镜下实施“异物取出术”,通过异物网篮来回捞了100多次,取出100多颗杨梅核,目测胃里还有几十颗。

此外,通过胃镜检查却还有个意外发现,王大伯的胃窦部大面积溃疡,活检病理提示为恶性肿瘤。还好发现及时,手术顺利完成,患者术后恢复良好。
据医生介绍,很多恶性肿瘤都是“沉默的杀手”,早期都没有“报警信号”,他们接诊的很多患者发现时已经是中晚期。
类似这种生吞杨梅核出事的情况,年轻人也有发生。据漳州市第三医院消化内镜中心介绍,一名32岁的男子连核吃了三十几颗杨梅出现十二指肠溃疡并梗阻。一开始的症状为持续呕吐、腹痛腹胀。后经医生半个多小时的努力,顺利取出患者胃内杨梅核。
据医生介绍,临床上,因吞食大量杨梅核而引发腹胀腹痛、十二指肠溃疡或肠梗阻的患者不在少数,很多人从小听老一辈人说杨梅核有助于消化,其实,这些说法并没有任何科学依据,反而让更多排便不畅的患者进了医院。
医生提醒:儿童因食道和气管细小,也不宜轻易吞食杨梅核,避免出现异物卡喉的情况。
正值杨梅丰收季
杨梅究竟该怎么吃呢?
听听营养科专家怎么说
杨梅属于深色水果,富含花青素,从营养角度来讲,优质杨梅果肉的含糖量为 12%~13%,含酸量为 0.5%~1.1%,富含纤维素、矿质元素、维生素和一定量的蛋白质、脂肪、果胶及对人体有益的氨基酸,其果实中钙、磷、铁含量也较高。
“杨梅中的有机酸对胃黏膜有一定的刺激作用,胃炎、溃疡病患者不要贪吃。同时,杨梅性温热且较酸,牙痛、胃酸过多、上火的人也不宜多食,孕妇也应适当控制。总体而言,杨梅虽然美味,但食用不宜过量,要根据个人体质适量食用。”
来源:齐鲁网·闪电新闻
来源:台州交通广播(ID:tzjtgb)综合漳州市第三医院、福建卫生报、东南快报、义乌市中心医院
版权归原作者所有,向原创致敬
来源: 黑龙江广播电视台
免责声明:文章内容来自互联网,本站仅提供信息存储空间服务,真实性请自行鉴别,本站不承担任何责任,如有侵权等情况,请与本站联系删除。