
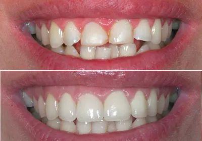
牙齿的色泽不仅关乎外在形象,更折射出口腔健康管理的水平。在现代社会交往中,洁白整齐的牙齿往往被视为健康与自信的象征,由此催生了对牙齿美白的持续关注。然而,牙齿美白并非简单的美容行为,其背后涉及复杂的生理机制、材料科学与临床规范。盲目追求美白效果可能对牙体组织造成不可逆损伤,因此有必要从科学角度系统梳理牙齿变色的成因、美白方法的原理及潜在风险,为公众提供理性实践的参考框架。
牙齿变色的成因可分为内源性与外源性两类,二者在病理机制与表现特征上存在显著差异。外源性变色主要源于口腔环境中的色素沉积,常见诱因包括长期饮用咖啡、浓茶、红酒等有色饮品,以及烟草中的尼古丁与焦油附着。这些物质通过牙菌斑生物膜的吸附作用,逐渐在牙釉质表面形成色素沉淀,初期表现为牙齿表面的淡黄色斑块,随时间推移可发展为深褐色甚至黑色。此外,口腔卫生维护不佳导致的牙石堆积,也会使牙齿外观呈现暗沉色泽。内源性变色则与牙体组织本身的结构改变相关,如氟斑牙因牙齿发育期间摄入过量氟元素,导致釉质矿化不全,表现为牙齿表面的白垩色斑块或黄褐色条纹;四环素牙则是由于药物与牙本质中的胶原纤维结合,形成稳定的复合物,使牙齿呈现黄色、棕褐色或灰色。牙髓坏死、创伤等因素也可能引发牙齿内部变色,这是由于牙髓组织分解产物渗透至牙本质小管所致。

牙齿美白效果的实现,本质上依赖于对牙体组织中色素的清除或掩盖。目前临床常用的美白技术可分为化学漂白、物理遮盖与微创修复三大类,各类方法的作用机制与适用范围存在明显差异。化学漂白是通过氧化剂分解牙釉质与牙本质中的有机色素分子,实现色泽提亮的效果。常用的漂白剂包括过氧化氢与过氧化脲,其中过氧化氢作为强氧化剂,可直接破坏色素的共轭双键结构,而过氧化脲则通过缓慢释放过氧化氢发挥作用,刺激性相对较低。根据应用场景的不同,化学漂白又可分为诊室漂白与家庭漂白:诊室漂白由专业医师操作,使用较高浓度的漂白剂(通常为 30%~35% 过氧化氢),配合光照或激光加速反应,单次治疗即可获得明显效果;家庭漂白则采用低浓度制剂(一般为 10%~22% 过氧化脲),患者通过定制托盘夜间佩戴,需持续 2~4 周方能达到理想效果。
物理遮盖技术主要通过在牙齿表面形成无色透明的涂层,改变光线反射角度,从而产生视觉上的美白效果。这类方法以牙釉质微研磨与涂氟技术为代表,适用于轻度外源性着色且牙釉质完整的情况。微研磨技术使用精细的研磨膏去除牙釉质表面的色素层,配合氟化物涂抹促进釉质再矿化,既能改善色泽又能增强牙齿抗龋能力。但需注意的是,该方法会去除约 5~10 微米的釉质层,因此不宜频繁操作,每年治疗次数不应超过 2 次,以免导致牙本质暴露引发敏感。
微创修复技术则适用于中重度牙齿变色,尤其是内源性变色或伴有牙体缺损的情况。常见手段包括瓷贴面、树脂贴面与全瓷冠修复。瓷贴面通过在牙齿唇面粘贴薄层瓷修复体,既能遮盖原有色泽,又能模拟天然牙的光学特性,美观效果持久且生物相容性好。树脂贴面则具有操作简便、费用较低的优势,但长期使用可能出现变色与磨损。全瓷冠修复适用于牙体缺损较大的情况,需磨除更多牙体组织,对牙齿的损伤相对较大,因此在选择时需权衡美观需求与牙齿健康的平衡。
牙齿美白过程中存在多种潜在风险,需通过规范操作与科学护理加以规避。化学漂白最常见的不良反应是牙齿敏感,表现为接触冷热刺激时的短暂疼痛,这是由于漂白剂渗透至牙本质小管刺激牙髓神经所致。研究表明,约 30%~40% 的患者在漂白后会出现不同程度的敏感,通常在治疗后 24~48 小时内缓解。为降低敏感风险,治疗前可进行脱敏处理,使用含氟化物或硝酸钾的制剂封闭牙本质小管;治疗中则需严格控制漂白剂浓度与作用时间,避免接触牙龈组织引发化学灼伤。此外,过高浓度的过氧化氢可能导致牙釉质脱矿,表现为牙齿表面粗糙、出现白垩色斑点,因此诊室漂白必须由具备资质的医师操作,严禁患者自行使用高浓度漂白剂。
物理遮盖与微创修复技术的风险主要与牙体组织损伤相关。微研磨过度可能导致牙釉质厚度不足,增加牙齿脆弱性;贴面或冠修复时若牙体预备不当,可能破坏牙髓活力,引发牙髓炎。因此,这类操作需由经验丰富的口腔医师进行,术前需通过 X 线检查评估牙体结构,制定个性化治疗方案。修复体粘结过程中若出现边缘不密合,还可能导致继发龋与牙龈炎症,需定期复查维护。
牙齿美白效果的长期维持,依赖于科学的口腔卫生习惯与生活方式调整。外源性色素再沉积是影响美白效果持久性的主要因素,因此需减少着色食物与饮品的摄入频率,饮用咖啡、茶等饮品时可使用吸管减少与牙齿的接触。吸烟是导致牙齿着色的重要诱因,戒烟不仅能维持美白效果,更能降低牙周病与口腔癌的发病风险。日常口腔护理中,应坚持每天至少两次刷牙,配合使用牙线与冲牙器清除牙间隙色素,选择含氟牙膏增强釉质抗酸能力。对于漂白后的牙齿,建议定期进行专业洁牙,每年 1~2 次,及时去除新生的牙结石与色素沉积。
特殊人群的牙齿美白需采取更为谨慎的态度。妊娠期与哺乳期女性应避免进行化学漂白治疗,虽然目前尚无明确证据表明漂白剂对胎儿或婴儿存在危害,但为安全起见,建议推迟至哺乳期结束后进行。青少年牙齿尚未发育完全,釉质矿化程度较低,过早进行漂白可能影响牙齿发育,一般建议在 18 岁以后再考虑美白治疗。患有严重牙周病、牙髓炎或牙本质过敏症的患者,需先进行基础治疗控制病情,待症状缓解后再评估美白可行性。
随着口腔材料学与美学修复技术的发展,牙齿美白的手段日益多样化,但无论选择何种方法,都应建立在对牙齿健康状况的全面评估基础之上。专业口腔医师会通过临床检查、影像学分析与色泽评估,制定个性化治疗方案,平衡美观需求与牙齿功能保护。公众也应理性看待牙齿美白,避免盲目追求 “极致美白” 而忽视牙齿的自然生理特性,毕竟健康的牙齿并非必然雪白,略带淡黄色的牙本质色泽反而更接近天然状态。如何在科学指导下选择适合自身的美白方式,在维护口腔健康的前提下实现美观目标,仍是需要持续探索的课题。
免责声明:文章内容来自互联网,本站仅提供信息存储空间服务,真实性请自行鉴别,本站不承担任何责任,如有侵权等情况,请与本站联系删除。